Rozróżnienie między nerwicą a guza mózgu może być trudne, ponieważ objawy obu tych schorzeń mogą się nakładać. Nerwica, charakteryzująca się lękiem, atakami paniki i problemami ze snem, często nie ma fizycznego źródła. Z kolei guz mózgu może powodować objawy takie jak bóle głowy, zmiany w widzeniu czy problemy neurologiczne. Właściwe zrozumienie tych różnic jest kluczowe dla postawienia prawidłowej diagnozy i uniknięcia niepotrzebnego stresu.
W artykule omówimy, jak rozpoznać objawy nerwicy i guza mózgu, jakie są różnice w ich diagnozowaniu oraz kiedy należy zgłosić się do lekarza. Przedstawimy również wskazówki, które pomogą w uniknięciu błędnej diagnozy, by zapewnić odpowiednią opiekę medyczną dla pacjentów.
Najistotniejsze informacje:- Objawy nerwicy obejmują lęk, ataki paniki i problemy ze snem.
- Guz mózgu może powodować bóle głowy, zmiany w widzeniu i problemy neurologiczne.
- Diagnostyka nerwicy opiera się na testach psychologicznych, podczas gdy guzy mózgu wymagają badań obrazowych, takich jak MRI.
- W przypadku wystąpienia nagłych objawów, takich jak silne bóle głowy czy zmiany w zachowaniu, należy natychmiast zgłosić się do specjalisty.
- Dokładna ocena objawów i konsultacje ze specjalistami mogą pomóc w uniknięciu błędnych diagnoz.
Jak rozpoznać objawy nerwicy i guza mózgu w praktyce
Rozróżnienie między nerwicą a guza mózgu jest kluczowe dla skutecznej diagnostyki i leczenia. Objawy nerwicy, takie jak lęk, ataki paniki i problemy ze snem, często wynikają z problemów psychicznych i mogą nie mieć jasno określonego źródła fizycznego. Z drugiej strony, guz mózgu może powodować różnorodne objawy fizyczne, które są wynikiem zmian w strukturze mózgu. Zrozumienie tych różnic jest istotne, aby móc odpowiednio reagować na występujące objawy.
W tej sekcji przyjrzymy się kluczowym objawom obu tych schorzeń. Zidentyfikowanie symptomów nerwicy i guza mózgu pomoże w lepszym zrozumieniu, jakie kroki należy podjąć w przypadku ich wystąpienia. Poniżej przedstawiamy tabelę, która porównuje typowe objawy nerwicy i guza mózgu, aby ułatwić ich odróżnienie.Objawy nerwicy: co warto wiedzieć o lęku i niepokoju
Nerwica objawia się na różne sposoby, a jej najczęstsze symptomy to lęk, ataki paniki, nadmierne zmartwienia oraz problemy ze snem. Osoby cierpiące na nerwicę często doświadczają uczucia niepokoju, które może prowadzić do trudności w codziennym funkcjonowaniu. Ataki paniki, które mogą wystąpić nagle i bez wyraźnego powodu, powodują intensywny strach, a także objawy fizyczne, takie jak przyspieszone bicie serca czy duszności. Problemy ze snem, w tym bezsenność, są również powszechne i mogą prowadzić do chronicznego zmęczenia oraz obniżenia jakości życia.
Jak objawy guza mózgu różnią się od nerwicy
Guz mózgu może powodować szereg fizycznych objawów, które różnią się od symptomów nerwicy. Najczęściej występującym objawem jest ból głowy, który może mieć różne nasilenie i charakter. Osoby z guzem mózgu mogą doświadczać zmian w widzeniu, takich jak podwójne widzenie czy utrata ostrości, co jest wynikiem ucisku na nerwy wzrokowe. Inne objawy to problemy neurologiczne, takie jak osłabienie kończyn, zaburzenia równowagi czy zmiany w zachowaniu. Te fizyczne symptomy mogą być alarmującym sygnałem, który wymaga natychmiastowej konsultacji medycznej.
| Objaw | Opis |
|---|---|
| Lęk | Uczucie niepokoju, które może prowadzić do trudności w codziennym życiu. |
| Ataki paniki | Nagły, intensywny strach z objawami fizycznymi, takimi jak duszności. |
| Ból głowy | Może być przewlekły lub nagły, często nasilający się w miarę postępu choroby. |
| Problemy ze snem | Trudności w zasypianiu lub utrzymaniu snu, co prowadzi do zmęczenia. |
| Zmiany w widzeniu | Podwójne widzenie lub utrata ostrości, spowodowane uciskiem na nerwy wzrokowe. |
Różnice w diagnozowaniu nerwicy i guza mózgu
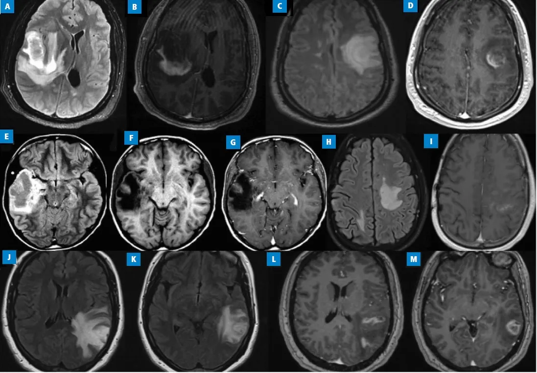
Diagnostyka nerwicy i guza mózgu wymaga zastosowania różnych podejść, ponieważ obie te choroby mają inne przyczyny i objawy. W przypadku nerwicy, lekarze korzystają głównie z testów psychologicznych, które pomagają ocenić stan psychiczny pacjenta. Z kolei diagnoza guza mózgu opiera się na badaniach obrazowych, takich jak rezonans magnetyczny (MRI) czy tomografia komputerowa (CT), które pozwalają zobaczyć ewentualne zmiany w strukturze mózgu. Zrozumienie tych różnic jest kluczowe dla skutecznej diagnostyki i leczenia.
W tej sekcji omówimy, jakie metody diagnostyczne są stosowane w przypadku nerwicy oraz jakie badania są niezbędne do wykrycia guza mózgu. Warto zaznaczyć, że w przypadku nerwicy diagnostyka często opiera się na rozmowie z pacjentem oraz analizie jego objawów, natomiast w przypadku guza mózgu kluczowe są badania obrazowe, które mogą ujawnić nieprawidłowości w mózgu.
Metody diagnostyczne dla nerwicy: testy i ocena psychologiczna
W diagnozowaniu nerwicy wykorzystuje się różnorodne testy psychologiczne, które mają na celu ocenę stanu emocjonalnego pacjenta. Do najczęściej stosowanych metod należą kwestionariusze, które pomagają zidentyfikować poziom lęku, depresji oraz innych problemów psychicznych. Przykładem może być Skala Lęku Becka, która ocenia nasilenie objawów lękowych. Ponadto, lekarze często przeprowadzają wywiady kliniczne, które pozwalają na głębsze zrozumienie problemów pacjenta oraz ich wpływu na codzienne życie. Takie podejście umożliwia postawienie trafnej diagnozy i wdrożenie odpowiedniego leczenia.
Jakie badania są potrzebne do wykrycia guza mózgu?
W przypadku podejrzenia guza mózgu, kluczowe są badania obrazowe, które pozwalają na dokładną ocenę stanu mózgu. Najczęściej stosowanymi metodami są rezonans magnetyczny (MRI) oraz tomografia komputerowa (CT). MRI jest szczególnie skuteczne w identyfikacji zmian w tkankach mózgowych, a także w ocenie ich lokalizacji i rozmiaru. Z kolei CT jest często stosowane w sytuacjach nagłych, gdy potrzebna jest szybka diagnoza. Te badania pozwalają lekarzom na postawienie diagnozy oraz zaplanowanie dalszych działań terapeutycznych.
| Rodzaj badania | Opis |
|---|---|
| Rezonans magnetyczny (MRI) | Badanie obrazowe, które wykorzystuje pole magnetyczne do tworzenia szczegółowych obrazów mózgu. |
| Tomografia komputerowa (CT) | Badanie, które wykorzystuje promieniowanie rentgenowskie do tworzenia przekrojowych obrazów ciała, w tym mózgu. |
| Kwestionariusz Lęku Becka | Test psychologiczny oceniający nasilenie objawów lękowych u pacjenta. |
Czytaj więcej: Nerwica odbytu objawy: Jak rozpoznać i złagodzić dolegliwości
Kiedy zgłosić się do lekarza: sygnały ostrzegawcze
W przypadku zarówno nerwicy, jak i guza mózgu, istnieją określone objawy, które powinny skłonić pacjenta do natychmiastowej wizyty u lekarza. Wczesne rozpoznanie może być kluczowe w skutecznym leczeniu. Objawy, które wymagają pilnej interwencji, mogą obejmować nagłe zmiany w zachowaniu, silne bóle głowy, problemy z widzeniem oraz inne niepokojące symptomy. Ignorowanie tych sygnałów może prowadzić do poważnych konsekwencji zdrowotnych.
Ważne jest, aby być świadomym objawów, które mogą wskazywać na poważne problemy zdrowotne. W przypadku wystąpienia nagłych i intensywnych objawów, takich jak utrata przytomności, dezorientacja czy trudności w mówieniu, należy niezwłocznie udać się do szpitala. Im szybciej pacjent otrzyma pomoc, tym większe szanse na skuteczne leczenie i poprawę stanu zdrowia.
Objawy, które powinny skłonić do natychmiastowej wizyty u specjalisty
Niektóre objawy są szczególnie alarmujące i powinny skłonić do natychmiastowej konsultacji z lekarzem. Na przykład, silne bóle głowy, które pojawiają się nagle i mają inny charakter niż zwykle, mogą być oznaką poważnych problemów zdrowotnych, takich jak guz mózgu. Zmiany w widzeniu, takie jak podwójne widzenie czy nagła utrata wzroku, również wymagają pilnej oceny medycznej. Dodatkowo, nagłe zmiany w zachowaniu, takie jak dezorientacja czy trudności w koncentracji, mogą wskazywać na problemy neurologiczne, które należy szybko zdiagnozować.
Jak ocenić nasilenie objawów nerwicy i guza mózgu
Ocena nasilenia objawów jest kluczowa dla podjęcia odpowiednich działań w przypadku nerwicy i guza mózgu. Pacjenci powinni regularnie monitorować swoje objawy i zwracać uwagę na ich zmiany. Można to zrobić poprzez prowadzenie dziennika objawów, w którym zapisuje się daty wystąpienia objawów, ich intensywność oraz czas trwania. W przypadku nagłego nasilenia objawów lub pojawienia się nowych, należy jak najszybciej skontaktować się z lekarzem. Pamiętaj, że im wcześniej zostanie postawiona diagnoza, tym lepsze będą rokowania na powrót do zdrowia.

Jak uniknąć błędnej diagnozy: kluczowe informacje
Aby uniknąć błędnej diagnozy pomiędzy nerwicą a guza mózgu, kluczowe znaczenie ma konsultacja z odpowiednimi specjalistami. Właściwa diagnoza wymaga zrozumienia objawów i ich kontekstu, dlatego warto skorzystać z doświadczenia lekarzy, którzy specjalizują się w tych dziedzinach. Psychiatrzy, neurologowie oraz psycholodzy mogą pomóc w zidentyfikowaniu problemu i skierować pacjenta na odpowiednie badania. W przypadku wątpliwości, zawsze warto zasięgnąć drugiej opinii, aby potwierdzić lub wykluczyć diagnozę.
Właściwe podejście do diagnozowania jest kluczowe, ponieważ błędna diagnoza może prowadzić do niewłaściwego leczenia i pogorszenia stanu zdrowia. Dlatego ważne jest, aby pacjenci byli aktywni w procesie diagnostycznym, zadawali pytania i domagali się wyjaśnień dotyczących swojego stanu zdrowia. Świadomość i współpraca z lekarzami są niezbędne do uzyskania dokładnej diagnozy i skutecznego leczenia.
Rola specjalistów w różnicowaniu nerwicy i guza mózgu
Specjaliści odgrywają kluczową rolę w różnicowaniu nerwicy od guza mózgu. Psychiatrzy i psycholodzy stosują różne metody oceny stanu psychicznego pacjenta, co pozwala im na zidentyfikowanie objawów nerwicy. Z kolei neurologowie, poprzez badania neurologiczne i obrazowe, mogą ocenić stan mózgu i wykryć ewentualne guzy. Współpraca między różnymi specjalistami jest niezbędna, aby uzyskać kompleksowy obraz zdrowia pacjenta i uniknąć błędnych diagnoz. Pacjenci powinni być świadomi, że każdy z tych specjalistów wnosi swoją unikalną perspektywę do procesu diagnostycznego.
Wskazówki dla pacjentów: jak przygotować się do wizyty u lekarza
Przygotowanie się do wizyty u lekarza jest kluczowe dla uzyskania dokładnej diagnozy i skutecznego leczenia. Pacjenci powinni sporządzić dziennik objawów, w którym zapisują wszystkie doświadczane objawy, ich nasilenie oraz czas trwania. Taki dziennik pomoże lekarzowi lepiej zrozumieć problemy zdrowotne pacjenta i umożliwi postawienie trafnej diagnozy. Ważne jest również, aby pacjenci przygotowali listę pytań, które chcą zadać lekarzowi, co pomoże w pełniejszym zrozumieniu swojego stanu zdrowia.Oprócz tego, warto zabrać ze sobą wszelkie dotychczasowe wyniki badań oraz informacje o przyjmowanych lekach. Pacjenci powinni być również gotowi do omówienia swojej historii medycznej oraz ewentualnych schorzeń w rodzinie. Tego rodzaju przygotowanie zwiększa szanse na efektywną wizytę i lepsze zrozumienie problemów zdrowotnych. Pamiętaj, że aktywna rola pacjenta w procesie diagnostycznym jest niezbędna dla uzyskania najlepszych wyników.
- Przygotuj dziennik objawów, zapisując wszystkie doświadczane symptomy.
- Sporządź listę pytań, które chcesz zadać lekarzowi podczas wizyty.
- Zabierz ze sobą wyniki wcześniejszych badań oraz informacje o przyjmowanych lekach.
Jak technologia wspiera diagnostykę nerwicy i guzów mózgu
W dzisiejszych czasach, rozwój technologii medycznej staje się kluczowym elementem w diagnostyce zarówno nerwicy, jak i guza mózgu. Nowoczesne technologie, takie jak sztuczna inteligencja (AI) oraz uczenie maszynowe, zaczynają odgrywać znaczącą rolę w analizie danych pacjentów, co może prowadzić do szybszego i bardziej precyzyjnego wykrywania objawów. Na przykład, algorytmy AI mogą analizować wyniki badań obrazowych, identyfikując subtelne zmiany, które mogą umknąć ludzkiemu oku, a tym samym zwiększając skuteczność diagnostyki guzów mózgu.
Oprócz tego, rozwijają się również aplikacje mobilne i platformy internetowe, które umożliwiają pacjentom monitorowanie swoich objawów w czasie rzeczywistym. Dzięki tym narzędziom, pacjenci mogą łatwiej dzielić się swoimi danymi z lekarzami, co pozwala na bardziej spersonalizowane podejście do leczenia. W przyszłości, połączenie technologii z tradycyjnymi metodami diagnostycznymi może znacznie poprawić jakość opieki zdrowotnej i przyczynić się do lepszego zrozumienia zarówno nerwicy, jak i guzów mózgu.
